Río acudió al IVO por una luxación de cristalino, pero tras las pruebas diagnósticas pudimos comprobar que ésta no era la única causa de su pérdida de visión ni del miedo con el que entró en consulta.
Síntomas y antecedentes del caso
Rio es un cruce de american macho de 8 años de edad que acudió al IVO por una luxación anterior de cristalino en el ojo izquierdo. Rio estaba muy nervioso, no paraba de ladrar y andaba con miedo. Los propietarios comentaron que nunca le habían visto así.
¿Qué es una luxación del cristalino?
El cristalino es la lente natural del ojo que está situada detrás de la pupila. La luxación del cristalino es el desplazamiento o dislocación de esa lente fuera de su lugar, ya sea hacia adelante (cámara anterior) o hacia atrás (cámara vítrea). Cuando el desplazamiento es parcial lo denominamos subluxación.

Pruebas diagnósticas
Mediante la exploración oftalmológica de Río pudimos confirmar una luxación anterior de cristalino del ojo izquierdo y una subluxación en el ojo derecho.
Pero el ojo derecho de Río no tenía respuesta a los estímulos luminosos (reflejos pupilares ausentes con luz blanca) y tampoco tenía respuesta al reflejo de la amenaza, lo que nos hizo sospechar de una posible patología añadida a la luxación del cristalino.
- El test de luces cromáticas indicó que Río no respondía ni a la luz azul ni a la luz roja en ningún ojo.
- La presión intraocular se encontraba dentro de los rangos normales en los dos ojos.
- En la exploración con oftalmoscopio indirecto no se apreciaban alteraciones en la retina, pero… ¿funcionaba con normalidad?
Ante la sospecha de un problema en el segmento posterior del ojo se recomendó la realización de pruebas adicionales que permitieran determinar la causa de su pérdida de visión:
- Retinografía o fotografía de ambas retinas para estudiarlas con mayor detenimiento.
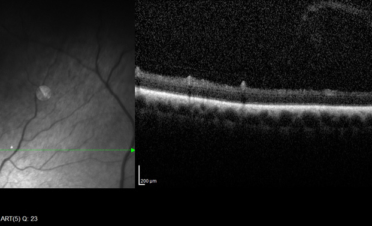
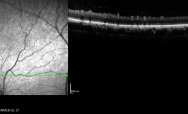
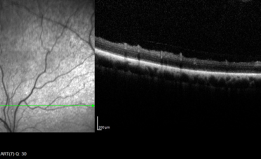
- OCT de retina para ver la estructura del complejo retina-coroides y detectar anomalías como microdesprendimientos, exudados en retina, etc No se observaron anomalías en la retina de ningún ojo, solo un ligero engrosamiento de la coroides en el ojo derecho (el más afectado).
- Electrorretinografía ERG para comprobar si la retina funcionaba con normalidad. Resultó ser normal para ambos ojos.
- Angiografía fluoresceínica para evaluar con detalle la vascularización de la retina y coroides.
En la angiografía fluoresceínica se apreció hiperfluorescencia del nervio óptico y en la periferia de la retina. Estas imágenes son compatibles con neuritis óptica y coriorretinitis.
Se recomendó realizar una resonancia magnética para valorar el estado del nervio óptico y posibles alteraciones intracraneales. Además se realizó un análisis sanguíneo completo para descartar posibles causas infecciosas o parasitarias.
Mientras se esperaban los resultados de las pruebas complementarias se decidió iniciar tratamiento tópico y oral para intentar recuperar visión cuanto antes.
En la resonancia magnética se confirmó que no había alteraciones intracraneales y que se trataba de una neuritis óptica.
Los resultados de las analíticas confirmaron que Río padecía también una infección por Neospora y Toxoplasma, posibles causantes o agravantes de su pérdida de visión, por lo que se añadió un tratamiento para hacer frente a estas infecciones.
A las tres semanas Río había experimentado una gran mejoría: mostraba respuesta a la amenaza, contraía la pupila a luces de colores en ambos ojos y tenía de nuevo un reflejo pupilar directo e indirecto normal.
Rio fue operado de la luxación de cristalino del ojo izquierdo y a día de hoy vuelve a ver.
En el caso de Río, la luxación no era el problema que causaba la pérdida de visión y el miedo con el que entró en consulta.
Gracias a las pruebas realizadas se pudo diagnosticar la neuritis y poner el tratamiento más correcto para que recuperase visión, y gracias a la resonancia pudimos descartar otras patologías de gran importancia también.
El caso de Río es un ejemplo de por qué hay que estudiar siempre ambos ojos: no siempre el problema mas evidente es el más importante.














