Las heridas en el ojo que padecía Tara suelen darse en razas braquicefálicas como el Bóxer, los Boston Terrier o los Bulldog, y pueden requerir diferentes tipos de tratamientos y control posterior para que no se produzcan de nuevo.
Síntomas y antecedentes del caso
Tara es una Boston Terrier de 7 años de edad que acudió a consulta a principios de enero por unas úlceras en el ojo izquierdo que no curaban desde hacía 2 semanas.
Pruebas diagnósticas
Durante la exploración, se observó que Tara tenia el ojo izquierdo muy enrojecido, no quería abrirlo y padecía fotofobia (malestar a la luz).
Durante la exploración se apreció que Tara tenía algunos pelos que crecían en el borde del párpado y rozaban su córnea (son las llamadas distiquias, pelos que nacen en lugares inapropiados como son las glándulas de Meibomio, y pueden ocasionar lesiones en la córnea al rozarla).
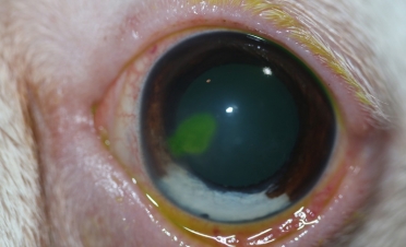
A partir del test de fluoresceína y la exploración con lámpara de hendidura pudimos detectar que Tara padecía también una úlcera de bordes desprendidos en el ojo izquierdo.

¿Qué es una úlcera indolente o de bordes desprendidos?
Las úlceras de bordes desprendidos, también llamadas úlceras indolentes, tórpidas o del Bóxer, son un tipo de úlcera corneal cuya causa es un defecto, generalmente congénito, en el epitelio, por el cual éste se despega de la capa central y más fuerte de la córnea (el estroma). Al despegarse produce una pequeña ampolla que cuando revienta provoca una úlcera corneal de difícil cicatrización.
Anteriormente se la llamaba úlcera del Bóxer por ser la primera raza en la que se describió esta patología. También se da en otras razas braquicefálicas como son el Boston Terrier o los Bulldog Inglés y Francés, y también en razas como el Caniche, Golden Retriever etc. En los gatos, la raza más afectada es el Persa.
Se trata de un tipo de úlceras que al ser superficiales generan dolor, y se requiere retirar el tejido que crece sin adherir, para que el nuevo tejido sano que crezca se adhiera bien a la córnea.
La eliminación del tejido normalmente se inicia con un hisopo de algodón mediante un desbridado simple, facilitando la cicatrización en la mayoría de los casos.
Cuando este método no da los resultados deseados, se puede ayudar a la cicatrización con otro tipo de técnicas quirúrgicas como es la llamada queratectomia superficial con fresa de punta de diamante con el fin de eliminar la totalidad el tejido corneal no adherido o “defectuoso” y facilitar así una más rápida recuperación.
Esta técnica tiene una efectividad de casi el 99% según artículos científicos, facilitando que las úlceras cicatricen con mayor rapidez.
Otra técnica que puede aplicarse es el cross-linking corneal con riboflavina, que utiliza la vitamina B2 (Riboflavina) y la radiación ultravioleta para endurecer la superficie de la córnea. Se trata de una técnica con alto grado de efectividad tanto en seres humanos como en animales.
Tratamiento
En el caso de Tara, tras varios desbridados sin éxito de la úlcera, se decidió realizar un cross-linking corneal para tratar la superficie de la córnea y un autoinjerto de membrana y coágulo de plasma rico en factores de crecimiento con la intención de conseguir una rápida cicatrización de la úlcera corneal



Evolución
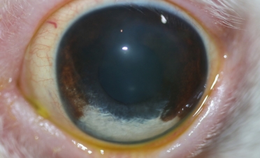
A día de hoy, Tara posee una leve cicatriz en el ojo izquierdo que no le impide una correcta visión.
Su ojo ha quedado transparente, sin apenas opacidades corneales que impidan una visión adecuada.
Debido a la técnica quirúrgica empleada, la recaída de este tipo de úlcera en el ojo izquierdo es prácticamente nula.





