En perros diabéticos las cataratas suelen desarrollarse muy rápidamente, e ir acompañadas de otras complicaciones. En estos casos es especialmente importante no retrasar la cirugía.

Consulta aquí el caso completo y el video de su cirugía de cataratas diabéticas.
¿Qué es la catarata diabética y por qué se produce?
La catarata es la pérdida de transparencia del cristalino, la lente que está dentro del ojo y nos ayuda a ver mejor (enfocar). En perros, gatos y hurones, la catarata suele ser una de las primeras complicaciones oculares de la diabetes. Las cataratas diabéticas tienen ciertas particularidades con respecto a la catarata común debida a la edad.
Normalmente los perros diabéticos desarrollan un tipo de cataratas denominadas intumescentes. Son un tipo de cataratas en las que el cristalino, atraído por los niveles altos de glucosa, se llena de líquido y se hincha, con riesgo de romper la cápsula que lo envuelve.
La catarata diabética del perro con mucha frecuencia se desarrolla rápidamente. El cristalino sufre un aumento de tamaño debido a la retención de líquido en su interior por los niveles altos de glucosa (azúcar) que atraen el agua. Como consecuencia de ello, puede producir complicaciones más graves para la visión como uveítis, glaucoma y desprendimientos de retina.

Consulta aquí el caso completo y el video de su cirugía.
Síntomas
La diabetes está estrechamente ligada a las enfermedades oculares, aunque las primeras señales no están relacionados con la vista. En muchas ocasiones estos síntomas pueden incluso pasar desapercibidos: beben más agua, orina más y suelen comer de forma voraz.
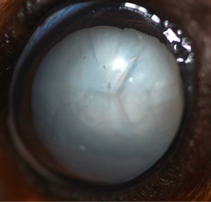
En el animal con catarata el cristalino pierde transparencia y la zona de la pupila ve más azulada o blanquecina. Le costará más ver las personas y objetos que están alejados, y tendrá más dificultades para ver de noche.
En la catarata diabética, además, puede apreciarse una inflamación del ojo.
Pruebas y exámenes
La forma de confirmar el diagnóstico de catarata diabética es mediante una minuciosa exploración del ojo con el instrumental adecuado, que puede comprender las siguientes pruebas diagnósticas:
- Examen con lámpara de hendidura
- Revisión de reflejos pupilares con test de luces cromáticas
- Medición de la presión intraocular
- Revisión del fondo de ojo con oftalmoscopia indirecta
- Ecografía ocular
- Retinografía
- Electrorretinografía
Sólo después de una exploración cuidadosa podremos descartar otras enfermedades de distintas partes del ojo (como la córnea, retina o nervio óptico) que pueden ser también la causa de la pérdida de visión.
¿A qué edad es más frecuente?
La catarata en pacientes con diabetes pueden desarrollarse en un corto espacio de tiempo, incluso en pocos días, y a cualquier edad. Aunque suele ser una enfermedad de adultos, hay animales que la padecen a los pocos meses de edad.
Tratamiento
La única opción terapéutica de la catarata es la cirugía. La técnica de elección en animales domésticos es la facoemulsificación del cristalino: extracción del cristalino opacificado y sustitución de este por una lente intraocular que haga su función.
Esperar demasiado tiempo para operar la catarata diabética puede dificultar la cirugía y empeorar el pronóstico de recuperación de la visión, además de favorecer la aparición de otras complicaciones asociadas.
Cirugía de catarata diabética avanzada con complicaciones. Caso Duque.
¿Por qué es tan importante operar la catarata diabética en fases iniciales de la enfermedad?
La catarata diabética tiene varias particularidades que aconsejan su intervención temprana:
- El cristalino suele llenarse de líquido y se hincha, con riesgo de romper la cápsula que lo envuelve.
- Normalmente provocan inflamación en el ojo (uveitis facoinducida o facoanafiláctica) , por lo que cuanto antes se operen, menor es la inflamación pre y postoperatoria a controlar.
- Es recomendable operar la catarata diabética a cualquier edad en la que desarrollen la diabetes, ya sea a los pocos meses de edad o en animales muy mayores.
- Este tipo de cataratas, debido al tamaño y la inflamación que pueden llegar a producir, pueden causar desprendimientos de retina o glaucoma secundario
- En ocasiones pueden llegar a disminuir la profundidad de la cámara anterior y con ello disminuir el ángulo iridocorneal, con lo que hay riesgo de aumento de la presión intraocular.
Puedes consultar aquí el caso de catarata diabética de Duque, que estaba tan avanzada que en un ojo ya se había roto la cápsula, y en el otro el cristalino empezaba a desprenderse.
Otras complicaciones asociadas a la diabetes
Cuando los animales ya llevan tiempo con la diabetes pueden además desarrollar retinopatía diabética. Ésta es una enfermedad que suele pasar desapercibida y solamente es posible detectarse mediante controles rutinarios en el oftalmólogo. Es en ese momento cuando se ven las lesiones, las denominadas microangiopatías, pequeñas hemorragias en el fondo del ojo (daño en los vasos sanguíneos de la retina).
Otra patología común asociada a la diabetes en animales es la neuropatía diabética, patología que consiste en un déficit de parpadeo del ojo, por lo que esto hace que aumente la sequedad ocular, las secreciones lagrimales a veces son prácticamente nulas y, como consecuencia de ello, aparecen úlceras corneales graves.
Prevención
El control oftalmológico, el ejercicio y una buena alimentación son claves para prevenir lesiones oculares graves provocadas por la diabetes.


Te puede interesar…
- Enfermedades oculares asociadas a la diabetes
- 15 falsos mitos sobre las cataratas en perros, gatos y caballos
- Retinopatía diabética
- Glaucoma
- Uveítis