La luxación del cristalino debe tratarse cuanto antes, especialmente si el cristalino desplazado provoca dolor o si compromete la visión al causar un aumento de presión intraocular.

Qué es
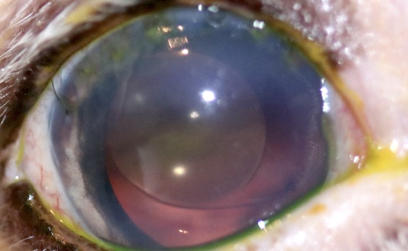
La luxación del cristalino es el desplazamiento del cristalino, la lente interior del ojo, causado por un deterioro de los ligamentos que lo sujetan, las llamadas fibras zonulares. La luxación puede ser unilateral o bilateral, es decir, afectar a uno o a los dos ojos al mismo tiempo.
Si el debilitamiento o rotura es de solo una parte de las fibras zonulares hablamos de subluxación del cristalino.
Cuando las fibras zonulares se han roto en su totalidad, según dónde se sitúe el cristalino desplazado hablamos de:
- Luxación anterior: el cristalino se mueve hacia la cámara anterior del ojo, que es el espacio que hay entre la córnea (la capa transparente externa del ojo) y el iris.
- Luxación posterior: el cristalino se mueve hacia la cámara vítrea, que es la cavidad principal del ojo, detrás del iris.

Síntomas
Los síntomas dependerán de dónde se haya situado el cristalino y de los efectos secundarios que produzca al luxarse:
- Dolor. Si el cristalino se desplaza hacia la cámara anterior, y especialmente si toca la córnea, provoca mucho dolor.
- Presión intraocular elevada. Si el cristalino se desplaza hacia la cámara anterior puede dificultar la evacuación del humor acuoso (el líquido interior del ojo), desencadenando así un aumento de la presión intraocular.
- Pérdida de visión. Al desplazarse del centro del ojo, el cristalino pierde su función de enfocar correctamente las imágenes en la retina, causando así una pérdida de visión. Además, si el cristalino se coloca en la cámara anterior, puede desencadenar un aumento de presión intraocular y por lo tanto un glaucoma secundario. En estos casos, al verse afectado el nervio óptico, la pérdida de visión puede llegar a ser irreversible.
Causas
- Genéticas. En la mayoría de casos la causa de la luxación es genética o hereditaria, al producirse de forma espontánea por una malformación de las fibras celulares o del cristalino.
- Traumáticas. Algunos casos de luxación por golpes o accidentes oculares son posibles, pero son raros.
- Diabetes. En enfermedades sistémicas como la diabetes se desarrolla una catarata llamada intumescente, en la que penetra agua en el interior del cristalino, provocando un aumento de volumen y de peso del cristalino. En estos casos hay una predisposición a que este cristalino, que pesa mucho más por la entrada de agua, se pueda luxar.
- Tumores intraoculares. Otras posibles causas son los desplazamientos del cristalino o subluxaciones del mismo por la presencia de tumores intraoculares.
- Cualquier catarata intumescente o hipermadura. Este tipo de cataratas predisponen a la luxación del cristalino:

Razas y especies más predispuestas
La especie animal en la que vemos más frecuentemente casos de luxación de cristalino es la especie canina, pero tambien hemos visto casos en gatos, caballos, conejos, hurones, roedores y aves.
En perros, los Bull Terrier, los Fox Terrier o los Spaniel Breton están más predispuestos a la pérdida o malformación de las fibras celulares que sujetan el cristalino, lo que puede causar su desplazamiento de forma espontánea.
Algunas razas de perros, como los Bull Terrier, Fox Terrier o Spaniel Breton entre otras, están más predispuestos a la pérdida o malformación de las fibras zonulares que sujetan el cristalino, lo que puede causar su desplazamiento de forma espontánea.
Diagnóstico y pruebas
El diagnóstico se basa principalmente en los signos clínicos y en la exploración con la lámpara de hendidura, que nos permite apreciar si el cristalino se sitúa en cámara anterior, en cámara posterior o si está subluxado.
A veces también necesitamos de una dilatación pupilar para poder ver bien el segmento posterior y la situación exacta del cristalino.
Si el cristalino se luxa a cámara anterior y provoca un edema o hinchazón importante de la córnea que nos dificulte la exploración, es posible que necesitemos también alguna de la siguientes pruebas:
- Ecografía ocular, ya sea de tipo bidimensional o ultrabiomicroscopía UBM
- OCT o tomografía de coherencia óptica del segmento anterior.
En estos casos siempre comprobamos también la presión intraocular para determinar si se puede estar desarrollando algún tipo de glaucoma secundario a la luxación.
Tratamiento
El tratamiento recomendado para la luxación del cristalino es quirúrgico, y es especialmente urgente en el caso de la luxación anterior, en la que el nervio óptico puede estar comprometido y por tanto la pérdida de visión ser irreversible.
En estos casos, el grado de urgencia dependerá de si es posible controlar la presión intraocular. Si es muy elevada y no se reduce valoraremos incluso la posibilidad de una cirugía inmediata de urgencia.
La cirugía tiene por objetivo extraer el cristalino como en una operación de cataratas y, si es posible, colocar en su lugar una lente intraocular para ganar calidad de visión.
Si la rotura de fibras zonulares y el estado de transparencia de la córnea lo permiten, la lente se coloca en el saco capsular (como se hace en la cirugia habitual de cataratas). Pero si la rotura zonular lo impide la lente intraocular se sutura en el sulcus, la región del ojo situada justo detrás del iris.
Si el cristalino luxado ha provocado una ceguera que se considera irreversible, las opciones medicas y quirúrgicas estarán más dirigidas a aliviar el dolor que a recuperar la visión.
En los casos en que el cristalino se sitúa en el segmento posterior y la cirugía no es viable, recomendamos un tratamiento médico con colirios para intentar evitar que el cristalino pase a la cámara anterior, que es donde realmente hay riesgo de que provoque glaucoma y dolor.
Igualmente, en los casos en que la luxación se produce únicamente en uno de los ojos, recomendamos este tipo de tratamiento en el ojo sano ante la probabilidad de que termine produciéndose una luxación también en el ojo no afectado.
Estos tratamientos preventivos se basan en la utilización de mióticos tópicos en gotas.
Complicaciones
La complicación más grave es el glaucoma por el aumento de la presión intraocular que provoca lesiones en el nervio óptico y la retina.
Otra complicación grave para la visión es el desprendimiento de retina. También puede provocar uveítis y queratitis.

Imágenes en perros, gatos y caballos
Luxación y subluxación del cristalino en perros




Luxación del cristalino en gatos




Luxación del cristalino en caballos
